Parodontita este caracterizată prin inflamația asociată biofilmului microbian, mediată de organism, care duce la pierderea atașării parodontale a dintelui. Biofilmul bacterian, placa dentară se localizează de-a lungul suprafeței rădăcinii și determină persistența unei inflamații sistemice cu impact mare asupra sănătății generale.
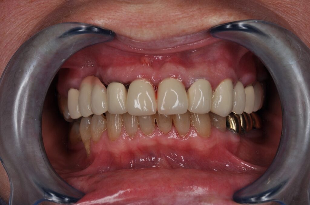
În imaginile de mai jos puteți observa un pacient cu boală parodontală avansată, prezența retracțiilor gingivale, a tartrului și plăcii dentare, toate cauzate de o igienă dentară deficitară.



Care sunt simptomele bolii parodontale?
Boala parodontală debutează de obicei asimptomatic, însă în stadii avansate pot să apară câteva simptome precum:
- Gingii înroșite și inflamate
- Sângerare la periaj
- Retracții gingivale
- Hipersensibilitate dentinară
- Mobilitate dentară
- Migrări dentare patologice
În ce constă examinarea:
Examenul clinic are în vedere să surprindă toate semnele ce pot să justifice prezența parodontitei.
Obiectivizarea inflamației se va face prin realizarea unor indici de sângerare și de placă, care se vor trece in fișa parodontală, însoțită de parodontometrie. Aceasta “măsurare” presupune analiza nivelului la care este atașată gingia de dinte. Tot în această fișă se vor nota eventualele grade de mobilitate ale dinților și expunerea furcațiilor molarilor (zona de unire a rădăcinilor).
Parodontometria:
Parodontometria se realizează cu ajutorul unei sonde parodontale gradate din milimetru în milimetru și permite apreierea distanței dintre marginea gingivală liberă și profunzimea pungii parodontale. Ea pătrunde în spațiul dintre gingie și dinte în 6 puncte. Adâncimea normală la sondare este cuprinsă între 1 și 3 mm. Această situație clinica poarta denumirea de șanț gingival și reprezintă sănătate parodontală. Dacă adancimea depășește 3mm atunci avem o pungă parodontală.
Parodontometria nu este o manoperă invazivă și nu este dureroasă ! Ea se realizează fără anestezie. În funcție de aceste valori, se va realiza un tratament individualizat pentru fiecare dinte în parte.
Programează-te pentru o consultație !
Un zâmbet sănătos este un zâmbet frumos!
Dr. L
Dr. Ana Hofer

