Primele luni de la naștere mama e ca un burete ce acumulează informații benefice pentru buna creștere și dezvoltare e copilului. După ce ai trecut de perioada de adaptare, te-ai obișnuit cu alăptatul, programul de somn, ai trecut la colici, treci de colici și apar dinții și tot așa. Mamele sunt într-un continuu studiu.
Aș vrea să vă descriu anumite situații pe care le puteți observa din timp astfel încât să se aplice cât de repede măsuri de terapie preventivă pentru a evita afectarea dentiției permanente.
Voi încerca să folosesc mai puțini termeni medicali pentru a putea fi pe înțelesul tuturor!
Deglutiția infantilă
În general deglutiția este funcția prin care se realizează trecerea bolului alimentar din cavitatea bucală prin faringe-esofag-stomac. La copilul mic deglutiția se petrece diferit, el neavând dinți, actul deglutiției se realizează cu ajutorul limbii și al mușchilor stimulați de limbă. Crestele alveolare nu vin în contact, laptele fiind condus spre faringe prin jgheabul realizat de limbă și mușchii inervați. Odată cu apariția dinților se trece la deglutiția de tip adult. Acum este momentul pentru a observa eventuala deglutiție infantilă, adică trebuie urmărită evoluția deglutiției. Uneori, în timpul deglutiției adulte, vârful limbii pătrunde între arcadele dentare realizându-se o deglutiție patologică. Interceptarea acestei deglutiții cere luare imediată de măsuri de corectare.
Respirația orală
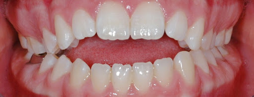
În mod normal o respirație normală se realizează prin fosele nazale. În condiții de efort, organismul are nevoie de un aport suplimentar de oxigen, aport care se realizează și prin respirație orală, pe gură. Când însă respirația se face numai pe gură vorbim de un sindrom de respirație orală. Această respirație patologică vine cu schimbări de fizionomie evidente: fose nazale aplatizate – nas mult subțiat, maxilar redus ca dimensiune, buza superioară scurtă, dinții frontali protruzați – în afară, buza inferioară mai mare, ocluzia distalizată adică dinții nu se ating și de multe ori apar carii pe dinții duperiori.

Fonația modificată
Există situații când, în timpul vorbirii, limba se interpune între arcade sau se sprijină pe incisivi. Aceasta duce la o dezorganizare dento-alveolară în sensul modificării poziției dinților frontali și inocluzie frontală. Corectarea fonației cere o colaborare cu un logoped.
Sugerea policelui – degetului mare
Este un obicei vicios care poate duce la instalarea unei anomalii dento-maxilare. Sechelele ce apar la copiii care practică acest obicei vicios sunt: ocluzia – mușcătura deschisă, deformarea aspectului fiziologic al gurii – subțierea buzei superioare, mărirea buzei inferioare, dinții frontali își schimbă poziția venind înafara arcadei alveolare, cei inferior mergând spre interior, apar distanțările dentare – treme.

Sugerea buzei inferioare
Acest obicei produce tulburare de sector: schimbarea poziției normale a dinților – dinții frontali merg spre exterior, cei inferior merg spre interior și apare o inocluzie sagitală, nu se ating dinții.
Interpunerea limbii între arcade
Interpunerea limbii este un comportament de nematurare e deglutiției. Sechelele ce apar la copiii care practică acest obicei vicios sunt: modificarea poziției dinților superior spre exterior – atunci când limba pune presiune pe dinții frontali și mușchii au tonicitate normală, ocluzie deschisă – limba se proiectează între incisivi, depășindu-i anterior, mușchii având tonicitate scăzută, ocluzie deschisă fronto-laterală – limba se interpune între dinți și frontal și lateral, mușchii având tonicitate diferită.
Controlul și observarea acestor obiceiuri într-un stadiu incipient face ca tratamentul aplicat să influențeze pozitiv evoluția aparatului dento-maxilar.